| 素材 | 特徴 | 審美性 | 耐久性 | 保険 | 保証 | 費用 | |
|---|---|---|---|---|---|---|---|
| 白 い 土 台 |
ファイバーコア![]() |
非常に柔軟性がある素材のため、歯が割れる可能性が低くなります。金属アレルギーも起きません。光透過性があるので、見た目の美しさも追求できます。 | ◎ | ◎ | × | 1年 | 16,500円 |
| 白 い か ぶ せ 物 |
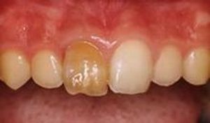
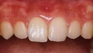
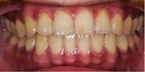
オールセラミック![]() |
金属を一切使用していない、体に優しいメタルフリーの素材です。長年の使用で変色せず、天然歯のような美しさを保ち続けます。 | ◎ | ◎ | × | 5年 | 110,000円 |
ジルコニア![]() |
人工ダイアモンドともいわれています。耐久性・審美性など全てにおいてセラミックの中でトップクラスです。 | ○ | ◎ | × | 5年 | 93,500円 | |
メタルボンドセラミック![]() |
表側はセラミック、裏側は金属の裏打ちがあります。強度に優れ、変色しません。 | ○ | ◎ | × | 5年 | 93,500円 | |
ハイブリッドセラミック![]() |
セラミックとプラスチックを組み合わせた素材です。両方の性質をあわせ持ちます。 | ○ | △ | × | 3年 | 59,400円 | |
ラミネートべニア![]() |
歯を薄く削り、付け爪のように歯に貼り付けます。セラミック素材ですので審美性に優れます。 | ○ | △ | × | 3年 | 93,500円 | |
硬質レジン![]() |
裏側に金属の裏打ちがあります。素材にプラスチックを使用しているので変色します。 | △ | ○ | ○ | ― | 保険適用 ※適用外の場合38,500円 |
|
| 金 の か ぶ せ 物 |
ゴールド![]() |
腐食せず、噛み合わせる相手の歯を痛めることもない、体に優しい素材です。 | △ | ◎ | × | 3年 | 33,000円 金属代は別途 |
| 保 険 の か ぶ せ 物 |
パラジウム![]() |
保険適用の素材です。金属アレルギーの可能性があります。歯ぐきが黒ずむ原因ともなります。 | × | ○ | ○ | ― | 保険適用 |
※症例により適用できない場合がございます。
・患者さんご自身の不注意や不慮の事故・外傷など明らかに当院の責任ではない場合
・故意による障害・破損が生じた場合
・診療終了時には全く予期し得ない口腔状態の変化があった場合
・当院の指示に従っていただけない状態での使用
・当院での定期的なメインテナンスを受けていただけなかった場合
| 素材 | 特徴 | 審美性 | 耐久性 | 保険 | 保証 | 費用 | |
|---|---|---|---|---|---|---|---|
| 白 い つ め 物 |
オールセラミック![]() |
金属を一切使用していない、体に優しいメタルフリーの素材です。長年の使用で変色せず、天然歯のような美しさを保ち続けます。 | ◎ | ◎ | × | 3年 | 49,500円 |
ハイブリッドセラミックス![]() |
セラミックとプラスチックを組み合わせた素材です。両方の性質をあわせ持ちます。 | ○ | ○ | × | 3年 | 38,500円 | |
| 金 の つ め 物 |
ゴールド![]() |
腐食せず、噛み合わせる相手の歯を痛めることもない、体に優しい素材です。 | △ | ◎ | × | 3年 | 22,000円 金属代金は別途 |
| 保 険 の つ め 物 |
パラジウム![]() |
保険適用の素材です。金属アレルギーの可能性があります。歯ぐきが黒ずむ原因ともなります。 | × | ○ | ○ | ― | 保険適用 |
※症例により適用できない場合がございます。
・患者さんご自身の不注意や不慮の事故・外傷など明らかに当院の責任ではない場合
・故意による障害・破損が生じた場合
・診療終了時には全く予期し得ない口腔状態の変化があった場合
・当院の指示に従っていただけない状態での使用
・当院での定期的なメインテナンスを受けていただけなかった場合
| 素材 | 特徴 | 審美性 | 耐久性 | 保険 | 保証 | 費用 |
|---|---|---|---|---|---|---|
ゴールド![]() ![]() |
加工性が高い素材で、お口にピッタリとフィットする入れ歯を作ることができます。体に優しい素材であることも特徴です。 | △ | ○ | × | 5年 | 495,000円 (総義歯) 440,000円 (部分義歯) *金属代別途 (時価) |
チタン![]() ![]() |
体に埋め込むこともできる安全性の高い金属です。軽く、熱伝導性が高いのも特徴です。 | ○ | ○ | × | 5年 | 385,000円 (総義歯) 330,000円 (部分義歯) |
コバルトクロム![]() ![]() |
昔から入れ歯用の材料として用いられてきた信頼性の高い素材です。熱伝導性が高いのも特徴です。 | ○ | ○ | × | 5年 | 330,000円 (総義歯) 275,000円 (部分義歯) |
ノンクラスプ![]() |
歯にかけるバネが無い審美性に優れた入れ歯です。弾力性があり、薄くて軽く、割れにくいのも特徴です。しかし、狭い範囲でしか対応できません。 | ◎ | ○ | × | 3年 | 132,000円 (片面) 165,000円 (両面) 220,000円 (金属床) |
プラスチック![]() ![]() |
保険適用の素材です。強度を得るためにどうしても厚くなります。熱伝導性も悪い素材です。 また、汚れもつきやすく、割れやすいというデメリットも存在します。 |
△ | × | ○ | ― | 保険適用 |
※症例により適用できない場合がございます。
・患者さんご自身の不注意や不慮の事故・外傷など明らかに当院の責任ではない場合
・故意による障害・破損が生じた場合
・診療終了時には全く予期し得ない口腔状態の変化があった場合
・当院の指示に従っていただけない状態での使用
・当院での定期的なメインテナンスを受けていただけなかった場合
※上記の金額の他に、健康保険の負担金が必要となります。
※金属の種類・装置・設計により値段が変わる場合があります。
| 方法 | 特徴 | 効果 | 期間 | 保険 | 費用 |
|---|---|---|---|---|---|
オフィスブリーチ![]() |
オフィスブリーチはその日のうちにホワイトニング効果が得られる治療法です。薬剤の濃度が高くなるため知覚過敏などのリスクも高まります。 | ◎ | 短 | × | 33,000円(3照射/1回) 27,500円(1回追加) |
ホームブリーチ![]() |
ホームブリーチは患者さん自身がご自宅などで行う治療法です。安全にお使いいただくため薬剤が低濃度になっており、効果が現れるまで長期間継続する必要があります。 | ○ | 短~長 | × | 33,000円 (両顎) 19,800円 (片顎) 3,300円 (追加シリンジ) 8,800円 (追加トレー) |
ウォーキングブリーチ![]() ![]() |
神経を一度取って黒く変色してしまった歯を、神経が通っている管に漂白剤を入れて、元のように白くする治療法です。 | ○ | 短~長 | × | 11,000円 (1歯/3回分) 2,200円 (4回目以降) |
ガムピーリング![]() ![]() |
メラニン色素で黒ずんでいる歯肉や、タバコのステインで着色している歯肉に薬液を塗って、ピンク色で健康的な歯肉に戻す方法です。 | ○ | 短 | × | 5,500円 (片顎/1回) |
※ホワイトニング料金には術前のPMTCおよび知覚過敏抑制用のフッ素ジェルも含まれています。
※術前のPMTCで本来の歯の色調を得ることができます。それ以上の色調の改善を望まずホワイトニング処置を中止する場合にはPMTCの料金7,700円を頂きます。
※デュアルホワイトニングは71,500円(両顎)になります。
※効果に個人差があります。必ず効果を保証できるものではありません。
※必ず医師の指示通りに使用してください。
※痛みや何かトラブルがありましたらご連絡ください。
| PMTC(60分~) | 7,700円 5,500円(中学生~20歳未満) |
|---|---|
| PMTC+エアーフロー(75分~) | 9,900円 7,700円(中学生~20歳未満) |
*唾液検査(1000円)と組み合わせてご利用頂く事ができます。
*対象となる患者様・・・治療終了後、お口の状態が安定している方
※詳しくは担当歯科衛生士にご確認ください。
現金払い(分割払い不可)
銀行振り込み(分割払い不可)
指定日までにこちらにお振り込みください。
尚振込手数料は患者様ご負担でお願い致します。
群馬銀行 相模原支店 普通口座 0041657
医療法人社団 桂誠会 理事長
鈴木 重紀
クレジット払い(2回払い不可)
電子マネー






























